Sâu răng là vấn đề răng miệng phổ biến ở trẻ mầm non, đặc biệt từ 2–6 tuổi – giai đoạn răng sữa mọc đầy đủ và trẻ bắt đầu hình thành thói quen ăn uống, sinh hoạt độc lập. Khoảng 80% trẻ từ 4–8 tuổi từng bị sâu răng, và nếu không chăm sóc đúng cách, răng sữa có thể tổn thương nghiêm trọng.
Dù chỉ tồn tại tạm thời, răng sữa đóng vai trò quan trọng: giúp trẻ nhai thức ăn, phát âm chuẩn, giữ khoảng trống cho răng vĩnh viễn mọc đúng vị trí, đồng thời hỗ trợ phát triển xương hàm và hình thành thói quen vệ sinh răng miệng suốt đời.
Vì vậy, chăm sóc răng sữa không chỉ giữ răng khỏe đẹp, mà còn là đầu tư cho sức khỏe răng miệng lâu dài và sự phát triển toàn diện của trẻ. Hiểu đúng cơ chế, nguyên nhân và cách phòng ngừa sâu răng sẽ giúp phụ huynh đồng hành cùng con một cách tự tin, nhẹ nhàng và hiệu quả.

Sâu răng là gì và cơ chế hình thành
Sâu răng là quá trình men răng và ngà răng bị tổn thương do tác động lâu dài của axit sinh ra từ vi khuẩn trong mảng bám. Khi trẻ ăn uống, các vi khuẩn này chuyển hóa đường và tinh bột trong thức ăn thành axit. Axit này làm hủy khoáng men răng, tạo ra những điểm yếu trên bề mặt răng, và nếu không được chăm sóc kịp thời, dần dần hình thành lỗ sâu răng.
Ở trẻ mầm non, ngoài vi khuẩn, một số yếu tố khác làm tăng nguy cơ sâu răng bao gồm:
Men răng kém khoáng hóa hoặc thiểu sản men: Trẻ có men răng yếu sẽ dễ bị axit tấn công, răng trở nên nhạy cảm và dễ xuất hiện lỗ sâu.
Cấu trúc răng phức tạp: Răng hàm có nhiều rãnh sâu, răng mọc chen chúc hoặc lệch lạc khiến thức ăn dễ tích tụ, khó làm sạch, tạo môi trường lý tưởng cho vi khuẩn phát triển.
Thói quen ăn uống nhiều đường: Ăn bánh kẹo, uống nước trái cây hay sữa trước khi đi ngủ sẽ tăng nguy cơ sâu răng nếu không vệ sinh răng miệng đúng cách.
Vệ sinh răng chưa đúng cách: Trẻ chải răng sai kỹ thuật, chải không đủ lâu hoặc lười đánh răng sẽ khiến mảng bám tích tụ lâu, tạo điều kiện cho vi khuẩn sinh sôi.

Các bệnh lý răng miệng: Viêm nướu, viêm tủy răng… có thể làm men răng suy yếu và răng dễ bị sâu hơn.
Yếu tố di truyền: Nếu mẹ từng bị viêm nha chu hoặc men răng yếu, răng của trẻ cũng có thể kém bền hơn.
Thiếu fluoride: Flouride là khoáng chất tự nhiên giúp bảo vệ men răng, ngăn ngừa sâu răng; nếu trẻ không tiếp xúc đủ qua kem đánh răng hay nước súc miệng, răng sẽ dễ bị tổn thương.
Căng thẳng kéo dài: Ảnh hưởng gián tiếp đến thói quen ăn uống, sinh hoạt và sức khỏe răng miệng, từ đó làm tăng nguy cơ sâu răng.
Hiểu đúng cơ chế hình thành sâu răng sẽ giúp cha mẹ không quá lo lắng, mà tập trung vào xây dựng thói quen chăm sóc răng miệng tốt cho trẻ từ sớm, ngăn ngừa sâu răng tiến triển và bảo vệ sức khỏe răng miệng lâu dài.

Vị trí răng dễ bị sâu và cách quan sát
Không phải tất cả các răng đều có nguy cơ sâu giống nhau. Một số vị trí răng ở trẻ mầm non thường bị sâu hơn, cha mẹ cần quan sát kỹ:
Răng cửa: Đây là những chiếc răng nằm phía trước, dễ bị sâu kẽ răng. Nguyên nhân phổ biến là thói quen bú bình vào ban đêm hoặc ăn nhiều đồ ngọt mà không vệ sinh răng sau đó. Men răng cửa mỏng hơn các răng khác, nên dễ bị vi khuẩn tấn công. Cha mẹ có thể quan sát bằng cách kiểm tra kẽ răng và bề mặt răng trước – nếu thấy đốm trắng, lỗ nhỏ hay hơi ố vàng, nên cho trẻ đi kiểm tra sớm.
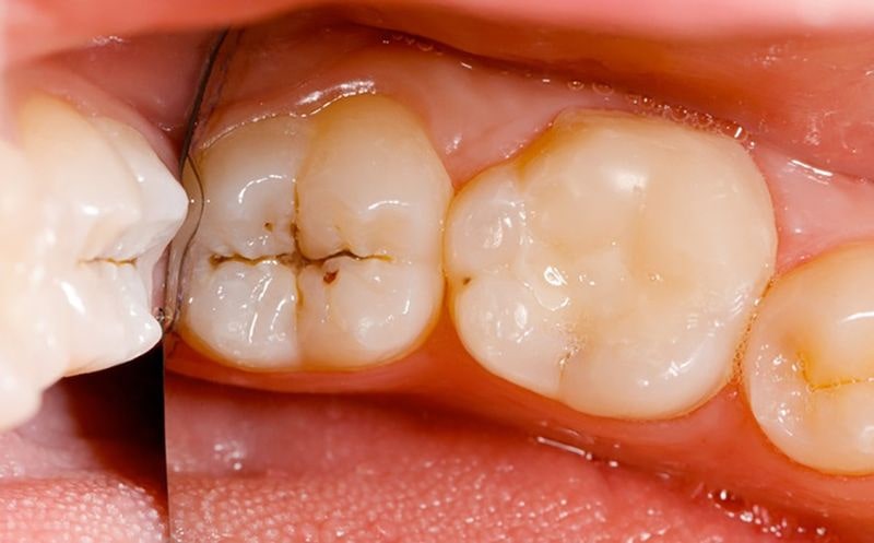
Răng hàm: Răng hàm có rãnh sâu và nhiều ngóc ngách, lại nằm cuối khoang miệng nên khó làm sạch hoàn toàn, đặc biệt khi trẻ chưa tự chải răng thành thạo. Đây là nhóm răng có tỷ lệ sâu cao nhất, vì chịu tác động nhiều khi nhai thức ăn. Cha mẹ nên chú ý quan sát các rãnh răng, rửa sạch hoặc dùng bàn chải nhỏ để vệ sinh kỹ.
Răng số 6 vĩnh viễn: Đây là răng hàm vĩnh viễn mọc sớm nhất, thường xuất hiện khi trẻ khoảng 6 tuổi, đóng vai trò quan trọng trong nhai. Nếu không vệ sinh kỹ, răng số 6 dễ bị sâu và hỏng men răng. Cha mẹ cần kiểm tra răng số 6 định kỳ và hướng dẫn trẻ chải kỹ mặt nhai, đồng thời sử dụng kem đánh răng có fluoride để bảo vệ men răng.
Lời khuyên: Hãy quan sát răng trẻ định kỳ mỗi tuần và để ý các dấu hiệu sớm của sâu răng như: đốm trắng, lỗ nhỏ, mùi hơi hôi. Phát hiện kịp thời giúp trẻ được can thiệp ngay từ giai đoạn đầu, tránh đau nhức, bảo vệ răng vĩnh viễn mọc sau này.

Các giai đoạn sâu răng ở trẻ mầm non
Sâu răng ở trẻ tiến triển qua nhiều giai đoạn, và nhận biết sớm giúp cha mẹ can thiệp kịp thời, bảo vệ răng sữa – nền tảng cho răng vĩnh viễn.
- Giai đoạn tổn thương sớm: Lúc này, trên bề mặt răng có thể xuất hiện những đốm trắng, men răng vẫn cứng, trẻ chưa có cảm giác đau hay ê buốt. Đây là dấu hiệu cảnh báo sớm, cho thấy răng đang bị mất khoáng. Nếu được chăm sóc tốt, bao gồm chải răng đúng cách, sử dụng kem fluoride và hạn chế đồ ngọt, men răng có thể được tái khoáng hóa, ngăn sâu răng tiến triển.
- Giai đoạn sâu men răng: Khi sâu răng tiến triển hơn, sẽ hình thành lỗ nhỏ trên men răng. Trẻ thường chưa đau nhiều, nhưng đây là thời điểm quan trọng để trám răng. Nếu bỏ qua, vi khuẩn sẽ tiếp tục ăn sâu vào ngà răng, làm tăng nguy cơ ê buốt và khó điều trị.
- Giai đoạn sâu ngà răng: Khi sâu đã ăn tới ngà, trẻ có thể ê buốt khi ăn nóng, lạnh hoặc chua, và đôi khi xuất hiện mùi hôi nhẹ. Lúc này, việc trám răng là cần thiết để giảm ê buốt và ngăn ngừa sâu răng tiến sâu vào tủy.
- Giai đoạn sâu tủy răng: Đây là giai đoạn nghiêm trọng nhất, khi vi khuẩn đã xâm nhập tủy răng chứa dây thần kinh và mạch máu. Trẻ sẽ đau dữ dội, khó ăn uống, nướu sưng hoặc hôi miệng nặng. Ở giai đoạn này, cần điều trị tủy và phục hình răng để bảo vệ răng sữa và tránh ảnh hưởng đến răng vĩnh viễn.
Hiểu các giai đoạn này giúp cha mẹ phát hiện sớm, chăm sóc răng đúng cách và xây dựng thói quen vệ sinh, ăn uống khoa học cho trẻ, từ đó giúp trẻ có răng khỏe, phát triển tự tin và toàn diện.

Tác hại của sâu răng nhưng không cần quá lo
Ảnh hưởng đến ăn uống và dinh dưỡng
Khi răng đau hoặc ê buốt, trẻ sẽ nhai khó, ăn ít, bỏ qua một số loại thức ăn.
Điều này có thể khiến trẻ thiếu dưỡng chất cần thiết cho sự phát triển chiều cao, cân nặng và sức khỏe tổng thể.
Khó khăn trong phát âm và giao tiếp
Răng sữa đặc biệt quan trọng cho việc phát âm chuẩn.
Trẻ đau răng hoặc mất răng sớm có thể gặp chút khó khăn khi phát âm một số từ, nhưng tình trạng này hoàn toàn có thể cải thiện nếu răng được chăm sóc đúng cách.
Răng sữa mất quá sớm
Nếu răng sữa bị nhổ hoặc rụng quá sớm do sâu nặng, răng vĩnh viễn có thể mọc lệch, chen chúc hoặc nghiêng.
Tuy nhiên, nếu cha mẹ theo dõi, trám răng hoặc thực hiện các biện pháp bảo vệ răng sữa, tình trạng này có thể phòng tránh hiệu quả.
Răng vĩnh viễn nếu không điều trị
Sâu răng kéo dài trên răng vĩnh viễn có thể dẫn đến viêm nướu, viêm tủy, áp xe hoặc lan tới xương hàm.
Điều này ảnh hưởng lâu dài đến sức khỏe răng miệng và cần can thiệp y tế kịp thời.
Điều trị sâu răng ở trẻ mầm non
Điều trị sâu răng ở trẻ cần dựa trên mức độ tổn thương, nhằm bảo vệ răng sữa và răng vĩnh viễn, đồng thời giảm đau và ngăn ngừa biến chứng.
Răng chớm sâu
Khi xuất hiện những đốm trắng hoặc lỗ nhỏ trên men răng, trẻ thường chưa đau.
Lúc này, bác sĩ có thể trám răng bằng các chất chứa calcium, phosphate và fluoride.
Mục tiêu là tái khoáng men răng, ngăn sâu răng tiến triển, giữ răng sữa nguyên vẹn.
Răng sâu nặng
Nếu răng đã hình thành lỗ sâu rõ, ê buốt khi ăn nóng/lạnh, bác sĩ sẽ kiểm tra tủy răng.
Trường hợp tủy chưa bị viêm nặng, răng được trám hoặc phục hình.
Nếu tủy bị viêm, cần điều trị nội nha (lấy tủy), sau đó phục hình để bảo vệ răng sữa, giữ không gian cho răng vĩnh viễn mọc đúng vị trí.

Sâu nghiêm trọng hoặc áp xe
Khi răng sâu nặng, viêm tủy cấp hoặc áp xe xương ổ răng, bác sĩ có thể chỉ định nhổ răng sâu.
Mục đích là ngăn viêm nhiễm lan rộng và bảo vệ răng vĩnh viễn mọc sau này.
Lưu ý quan trọng:
Không để trẻ chịu đau kéo dài.
Cha mẹ cần đồng hành cùng bác sĩ để lựa chọn phương pháp phù hợp, an toàn, giảm lo lắng cho trẻ.
Việc điều trị kịp thời sẽ giúp trẻ duy trì sức nhai, phát âm tốt, đồng thời phát triển hàm răng khỏe mạnh trong tương lai.
Phòng ngừa sâu răng – Chìa khóa để răng khỏe mạnh
Phòng ngừa sâu răng luôn tốt hơn việc chữa trị, đặc biệt với trẻ mầm non. Cha mẹ có thể đồng hành cùng con qua những thói quen đơn giản nhưng hiệu quả:
Chải răng đúng cách
Hướng dẫn trẻ chải răng 2 lần/ngày, mỗi lần ít nhất 2 phút, tập trung vào răng cửa, răng hàm và kẽ răng.
Sử dụng kem đánh răng chứa fluoride phù hợp với độ tuổi để bảo vệ men răng, ngăn sâu răng tiến triển.
Thay bàn chải định kỳ khoảng 2 tháng/lần, hoặc khi lông bàn chải bị mòn.

Chế độ ăn khoa học, lành mạnh
Hạn chế thức ăn nhiều đường, bánh kẹo, đồ ngọt và nước uống có gas, đặc biệt trước khi ngủ.
Khuyến khích trẻ ăn sữa, sữa chua, rau xanh, trái cây tươi, giúp bổ sung canxi, vitamin D và các dưỡng chất quan trọng cho răng và xương.
Xây dựng thói quen ăn đều bữa, nhắc nhở trẻ nhai kỹ để giảm mảng bám thức ăn.
Súc miệng bằng nước muối nhẹ
Pha 1 muỗng cà phê muối với nước ấm, hướng dẫn trẻ súc miệng nhẹ nhàng sau khi đánh răng.
Giúp diệt khuẩn, giảm nguy cơ viêm nướu và hỗ trợ ngăn sâu răng.
Cạo vôi răng định kỳ
Tùy tình trạng, trẻ có thể cần lấy cao răng 2–3 lần/năm.
Giúp loại bỏ mảng bám cứng, ngăn vi khuẩn phát triển, duy trì nướu và men răng khỏe mạnh.
Khám nha khoa định kỳ
Đưa trẻ đi khám 6 tháng/lần để bác sĩ kiểm tra răng, phát hiện sớm các dấu hiệu sâu răng, răng mọc lệch hay vấn đề nướu.
Can thiệp kịp thời giúp trẻ tránh đau nhức, giữ răng sữa khỏe mạnh và chuẩn bị tốt cho răng vĩnh viễn.
Đồng hành cùng trẻ – Tích cực và nhẹ nhàng
Chăm sóc răng miệng cho trẻ mầm non không chỉ là vấn đề kỹ thuật, mà còn là cơ hội để cha mẹ hình thành thói quen tích cực, giúp trẻ tự tin và vui vẻ. Một số cách đồng hành hiệu quả:
Khen ngợi và tạo niềm vui khi đánh răng
Biến đánh răng thành hoạt động thú vị, không phải nhiệm vụ bắt buộc.
Khen ngợi trẻ mỗi khi thực hiện đúng cách, tạo cảm giác thành tựu, giúp trẻ hứng thú duy trì thói quen.
Tạo môi trường khám phá và học hỏi
Cho trẻ tham gia vào việc chọn bàn chải, kem đánh răng với màu sắc, hương vị yêu thích.
Hướng dẫn trẻ cách súc miệng, chải răng nhẹ nhàng, giúp trẻ tự giác quan tâm đến răng miệng.
Nhấn mạnh phát triển cá nhân và thói quen đều đặn
Giải thích với trẻ rằng mỗi người có nhịp phát triển riêng, từ răng, chiều cao đến cân nặng.
Quan trọng là duy trì thói quen tốt hàng ngày, hơn là so sánh với người khác.
Cha mẹ đóng vai trò người đồng hành và hỗ trợ, không áp lực hay la mắng, giúp trẻ hình thành thói quen chăm sóc răng miệng khoa học, tự nhiên. Khi thói quen được duy trì, trẻ sẽ phát triển răng khỏe mạnh, hàm đẹp, tự tin cười nói và vui vẻ khám phá thế giới xung quanh.

Kết luận
Sâu răng ở trẻ mầm non là vấn đề phổ biến nhưng hoàn toàn có thể kiểm soát và phòng ngừa nếu cha mẹ hiểu đúng, can thiệp kịp thời và đồng hành nhẹ nhàng cùng con.
Việc phát hiện sớm, điều trị đúng mức và duy trì thói quen chăm sóc răng miệng khoa học – từ chải răng, chế độ ăn, súc miệng, đến thăm khám định kỳ – giúp bảo vệ răng sữa, tạo nền tảng cho răng vĩnh viễn phát triển khỏe mạnh.
Quan trọng hơn cả là thái độ tích cực: khen ngợi nỗ lực, tạo niềm vui khi chăm sóc răng, và nhấn mạnh rằng mỗi trẻ phát triển theo nhịp riêng. Khi cha mẹ đồng hành một cách kiên nhẫn và khéo léo, trẻ sẽ hình thành thói quen chăm sóc răng miệng tự nhiên, khỏe mạnh, đồng thời phát triển sự tự tin, vui vẻ trong cuộc sống hàng ngày.
Nguồn: Tổng hợp









